转发:子宫腺肌症伴腺肌瘤患者术后长期管理策略
执笔专家:
吴 青 浙江省人民医院妇科
病史介绍 患者李女士,41岁,2024年11月21日就诊 主诉:进行性痛经伴月经增多10年 现病史:患者平素月经规律,月经周期28天-30天,经期7-9天,有痛经,近10年月经前3天痛经程度较重,且逐渐加重,持续4-5天,呈下腹坠痛,深部绞痛,末次月经疼痛VAS评分8分,口服布洛芬稍缓解;月经量逐步增多,经量多时每天需4片成人纸尿裤。8月余前外院放置曼月乐环后自行脱落。外院B超检查提示子宫后壁肌层内探及一不均回声区,大小约6.9cm*5.6cm*4.8cm。子宫局灶性腺肌症伴腺肌瘤形成。初步诊断“子宫腺肌症、剖宫产个人史”。 既往史:既往体健,否认慢性及传染性疾病,2018年行剖宫产术分娩,手术后恢复好。 月经史:13岁初潮,月经周期28天-30天,经期7天-9天,伴痛经(VAS评分8分),经量多,较多时每天需4片成人纸尿裤。 婚育史:已婚已育,1-0-0-1,既往剖宫产史。 家族史:否认家族中有遗传性疾病史。 体格检查:体重:59.2Kg,身高:160cm,BMI23.1,体温:36.6℃,脉搏:86次/分,呼吸:17次/分,血压:119/71mmHg,生命体征平稳,贫血貌,无痤疮,无多毛;乳腺未触及明显包块;余体检无殊。 妇科检查: 外阴、阴道无特殊,宫颈轻度柱状上皮外延,无举痛,子宫前位,子宫如孕3+月大,轻压痛,活动度偏差,质地硬,表面尚光滑,右侧附件区未及明显异常,左侧附件区有压痛略增厚,盆底未触及明显触痛结节。 辅助检查: 1、经阴道超声检查:子宫腺肌症伴腺肌瘤形成考虑,子宫前位,后壁肌层回声增粗,分布不均匀,范围约6.9cm*5.6cm*4.8cm,边界欠清,内见点条状血流信号;双层内膜厚度0.8cm,回声均匀;盆腔积液,后盆腔暗区1.6cm,透声好; 初步诊断: 1、子宫腺肌病; 2、子宫腺肌瘤; 3、轻度贫血; 4、剖宫产个人史。 诊断依据: 1、进行性痛经伴月经增多10年; ①经阴道超声检查:子宫腺肌症伴腺肌瘤形成考虑; ②CA 125:142.8↑U/ml; ③盆腔MRI平扫:子宫体积增大,子宫壁增厚,以子宫后壁为著,局部呈团块状,结合带增厚、边界显示不清,双侧卵巢大小欠对称,右侧较左侧稍饱满,约20mm*15mm。考虑子宫腺肌症伴腺肌瘤形成。 诊疗经过 诊疗思路:患者已婚已育,无再生育需求,根据病史、查体及辅助检查提示子宫腺肌病、子宫腺肌瘤,且病情较重,明显影响生活质量。 1.初次治疗分析与方案: 手术治疗:疼痛症状严重且月经过多,导致贫血,有手术指征。 药物治疗: (1)非甾体抗炎药,效果不佳,子宫腺肌病病理生理持续进展; (2)口服避孕药,患者年龄大于40岁,安全性下降、全身副作用增加; (3)GnRH-a,短期应用可行,长期应用受限; (4)孕激素(曼月乐脱落,不适合此患者;地诺孕素或地屈孕酮可行)经过和患者详细沟通病情,交待手术和药物治疗的利弊,患者知情,意愿先行药物治疗,选择药物治疗方案:地诺孕素2mg qd全周期口服。 2.第一次随访: 3.手术治疗: 行腹腔镜下子宫腺肌病灶切除术+腹腔镜子宫内膜异位病灶烧灼术+肠粘连松解术。 腹腔镜探查:部分肠系膜与腹壁粘连,子宫前位,增大如孕3+月,子宫后壁均匀增大,外凸明显;右侧输卵管及双侧卵巢外观未见异常,右侧输卵管伞端可见输卵管系膜囊肿大小约0.3cm。子宫表面可见散在紫蓝色内异结节,道格拉斯窝存在。探查余盆腹腔未见异常。下图所示分别为术前、术中、术后照片。 术后病理: 1、“子宫肿块”子宫腺肌症; 2、“左侧输卵管系膜囊肿”副中肾管囊肿。 术后处理:考虑患者术前使用地诺孕素有脱发副作用,患者无法接受。术后予地屈孕酮全周期治疗,服药方法:地屈孕酮20mg qd po治疗。 4.术后第一次随访: 5.术后第二次随访: 6.术后第三次随访: 1、本例患者就诊时年龄41岁,其临床症状主要以疼痛进行性加重,月经过多导致贫血,体检子宫明显增大,经阴道超声及盆腔磁共振提示:子宫腺肌症伴腺肌瘤形成考虑。CA 125:142.8↑U/ml。因此,临床诊断子宫腺肌病成立。治疗方案的选择根据临床症状、腺肌病灶大小的情况,选择手术治疗是较好的方案,但患者起初更希望药物治疗,交待病情及治疗风险后选择药物治疗,并且密切随访。 因子宫腺肌病雌激素依赖性,需要长期药物治疗,因此需有效安全且耐受性好的药物,持续使用到绝经。综合考虑后选择地诺孕素,随访后发现脱发明显,患者改选手术治疗,手术顺利。地屈孕酮对于异位病灶组织有显著抗增殖、促凋亡 2、手术治疗在子宫腺肌病治疗中的作用 全子宫切除的价值在于“一劳永逸”根治子宫腺肌病,然而子宫切除术不仅给妇女带来生理器官的缺失,可能造成卵巢功能减退、盆底功能障碍而影响患者的生活质量,而且可能造成心理伤害,尤其年轻或有生育要求的患者更是难以接受。 保留器官手术包括局灶性子宫腺肌病的子宫腺肌瘤剔除术、弥漫性子宫腺肌病病灶减少术等。其适应证为:有生育要求者、药物治疗失败希望保留子宫或对于药物治疗有禁忌证的患者。主要的手术原则包括:切除病变组织,尽量保留子宫肌层的强度和完整性,避免破坏子宫内膜腔,尽量减少浆膜损伤,保持输卵管的完整性,并对子宫肌层进行多层缝合[1]。对于保育患者尽量使用“冷器械”。 子宫腺肌病灶的切尽程度与术后病情密切相关,平衡病灶的去除程度、术中手术难度(如子宫创面的缝合、子宫重塑形)、术后恢复及子宫腺肌病病情的持续及远期复发、再妊娠患者的妊娠相关并发症是手术治疗及后续长期管理的难点。 3、子宫腺肌病病灶切除术后长期管理的意义 保留子宫手术后复发的预防子宫腺肌病保留子宫的手术后1年内复发率2.8%-14%,术后2年内复发率14.3%-49.0%[2]。子宫腺肌病术后需要长期管理,可以根据患者年龄、临床症状、有无生育要求、病变类型以及药物特点进行个体化治疗。本例患者术后管理方案为地屈孕酮20mg qd po全周期治疗,痛经及月经过多症状达到治愈效果。 术后长期管理是基于子宫腺肌病的多发性以及术后的高复发和迁延性,其术后管理的目的在于促进康复,减轻负担,降低并发症,提高生活质量。子宫腺肌病严重威胁女性健康,增加公共卫生负担。国内共识提出了子宫腺肌病的三级管理模式,实现全疾病周期的精准化和个体化管理,从而希望达到以下目标:预防其发生,延缓其进展,减轻其危害,防止其复发[3]。 参考文献: [1]Horng HC, Chen CH, Chen CY, Tsui KH, Liu WM, Wang PH, Chang WH, Huang BS, Sun HD, Chang TC, Chang WC, Yen MS. Uterine-sparing surgery for adenomyosis and / or adenomyoma. Taiwan J Obstet Gynecol. 2014;53(1):3-7.
2、CA 125:142.8↑U/ml;
3、HB:97↓g/L;
4、盆腔MRI平扫:子宫体积增大,子宫壁增厚,以子宫后壁为著,局部呈团块状,结合带增厚、边界显示不清,TIWI呈等信号,T2WI呈低信号,其内可见局灶性高信号,DWI呈不均匀稍高信号,ADC呈等信号。双侧卵巢大小欠对称,右侧较左侧稍饱满,约20mm*15mm。盆腔内未见明显肿大的淋巴结。盆腔内少许积液。提示:子宫腺肌症伴腺肌瘤形成,必要时增强检查。所示双侧卵巢欠对称,右侧较左侧稍饱满,请结合临床、随诊。

2、妇科检查:外阴、阴道无特殊,宫颈轻度柱状上皮外延,无举痛,子宫前位,子宫如孕3+月大,轻压痛,活动度偏差,质地硬,表面尚光滑,右侧附件区未及明显异常,左侧附件区有压痛略增厚,盆底未触及明显触痛结节;
3、辅助检查:
用药1月,月经量减少,痛经缓解,VAS评分2-3分,无漏服。但脱发明显,患者拒绝继续地诺孕素治疗。沟通病情后患者选择手术治疗。


地屈孕酮20mg qd po月经第5天开始口服;术后第1个月:月经量少,无痛经,无明显副反应。复查阴道B超:子宫后壁肌层线样强回声,考虑术后改变,子宫内膜回声不均;CA 125:32.2 U/ml;HB:131g/L。
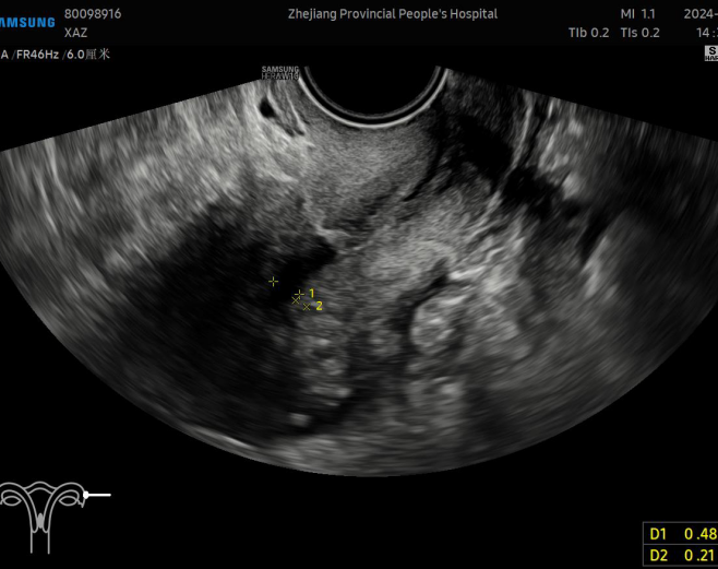
地屈孕酮20mg qd po每次月经第5天开始口服;术后第3个月:月经量少,无痛经,无明显副反应。复查阴道B超:子宫前位,切面大小正常,后壁肌层回声增粗,分布不均匀,内见多个条状回声,前峡部见0.9cm*0.7cm*0.9cm(宽径*长径*深径)无回声区。单层内膜厚度0.2cm,回声均匀,宫腔分离约0.5cm。提示:子宫后壁肌层回声改变,考虑术后改变;子宫前峡部暗区,憩室可能。CA125:14.1U/ml。阴道超声图如下:

地屈孕酮20mg qd po每次月经第5天开始口服;术后第6个月:月经量少,无痛经,无明显副反应。查肝功能、肾功能、血脂均正常。嘱患者继续地屈孕酮20mg qd po每次月经第5天开始口服,每3月复诊。
作用,且副作用较小,术后给予地屈孕酮20mg qd po治疗长期管理,无痛经、月经量少,治疗满意。
[2]Pecorella G, Nigdelis MP, Sparic R, Morciano A, Tinelli A. Adenomyosis and fertility-sparing surgery: A literature appraisal. Int J Gynaecol Obstet. 2024 ;166(2):512-526.
[3]王世宣,崔鹏飞,张金金.子宫腺肌病三级管理专家共识[J]. 实用妇产科杂志,2024,40(2):106-111.
转发:妇产科网


