转载:病例报告 | 胎儿胸腔积液合并MECOM基因突变致新生儿先天性尺桡骨融合伴无巨核细胞性血小板减少症1例
作者:郑佳欣1 陈灿1 叶正蔚2 刘青松3 文曦琳4 杨泽萱5 廖志勇6 魏素梅1 王玉梅1 唐冬梅1
1电子科技大学医学院附属妇女儿童医院 成都市妇女儿童中心医院重症产科, 成都 610091; 2电子科技大学医学院附属妇女儿童医院 成都市妇女儿童中心医院新生儿科, 成都 610091; 3电子科技大学医学院附属妇女儿童医院 成都市妇女儿童中心医院产前诊断中心, 成都 610091; 4电子科技大学医学院附属妇女儿童医院 成都市妇女儿童中心医院放射科, 成都 610091; 5电子科技大学医学院附属妇女儿童医院 成都市妇女儿童中心医院超声影像科, 成都 610091;6电子科技大学医学院附属妇女儿童医院 成都市妇女儿童中心医院儿检验科, 成都 610091
通信作者:唐冬梅, Email:58690409@qq.com
引用本文:郑佳欣,陈灿,叶正蔚,等. 胎儿胸腔积液合并MECOM基因突变致新生儿先天性尺桡骨融合伴无巨核细胞性血小板减少症1例[J]. 中华妇产科杂志,2025,60(08):641-644.DOI:10.3760/cma.j.cn112141-20250210-00045
摘要
本文报道1例妊娠晚期发现的胎儿胸腔积液合并MECOM基因突变最终致新生儿先天性尺桡骨融合伴无巨核细胞性血小板减少。孕妇因“停经29 +6周,发现胎儿右侧胸腔积液半天”入院。胎儿胸腔穿刺结果提示原发性胸腔积液,因胸腔积液反复增加,先后2次行胎儿右侧胸腔羊膜腔分流术。第2次分流术后出现右侧胸腔多房囊性回声,予观察。妊娠35 +5周因胎膜早破、瘢痕子宫不规律宫缩行剖宫产术。新生儿出生后因胸腔积液行胸腔穿刺及胸腔闭式引流,血常规提示血小板少,伴左侧尺桡骨融合,家系全外显子组测序确诊MECOM基因突变致尺桡骨融合伴先天性无巨核细胞性血小板减少。胎儿胸腔积液罕见,胸腔穿刺后出现胸腔多房囊性回声应考虑胎儿血小板减少可能,产后多学科团队协作有利于该病的诊疗,家系全外显子组测序分析有利于进一步明确诊断。
讨论
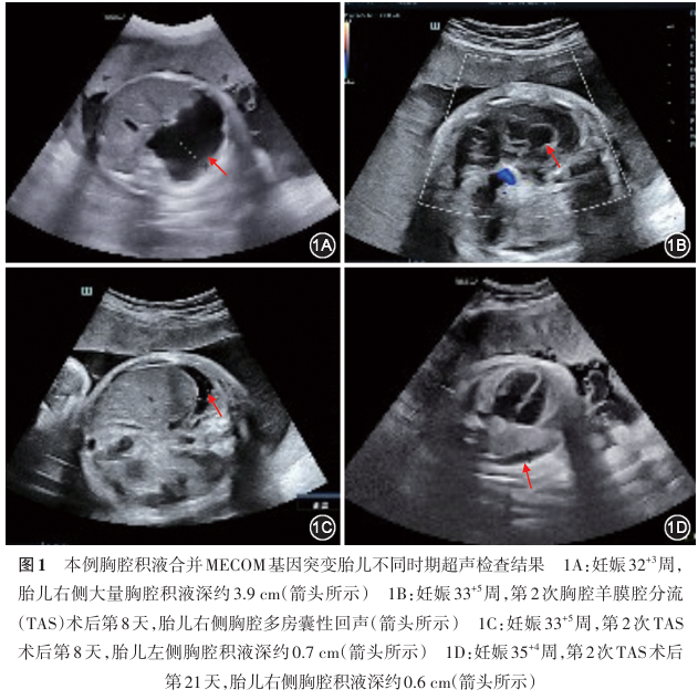
FHT是指胎儿在发育过程中胸腔内出现液体聚集,单侧、双侧均可出现。FHT是一种罕见的先天性疾病,发病率为1/15 000~1/10 000 [ 1 ] 。当积液深度>1 cm,伴肺不张、纵隔偏移、膈肌反向等,则为重度FHT [ 2 , 3 ] 。部分患儿病情加重时,胎儿会出现软组织水肿及其他体腔积液,如腹腔积液、心包积液、皮肤水肿(皮肤厚度>5 mm)、胎盘增厚(妊娠中期胎盘厚度≥4 cm)和羊水过多等,如果出现2处及2处以上腔隙的异常积液,则称为胎儿水肿 [ 4 , 5 ] 。FHT可能单独发病,也可合并胎儿水肿,后者预后更差 [ 6 ] 。FHT常见病因包括胎儿心血管系统异常、染色体异常、血液系统异常、胎儿心血管系统以外的其他结构异常(如胸廓异常)、感染、胎盘异常及遗传代谢性疾病等 [ 5 ] 。在没有感染的情况下,排除遗传学异常,胎儿胸水淋巴细胞计数>80%可确诊为原发性FHT [ 7 ] 。对于大量原发性FHT,在知情同意的情况下可行宫内干预,如:胸腔穿刺术及TAS。胸腔穿刺术不仅可用于产前诊断,还可判断积液产生的速度,结合孕周可减少胎儿胸腔的积液量,试验性治疗;术后严密观察,评估胸腔积液是否再次产生及产生的速度,为施行TAS做准备 [ 8 ] 。对于胸腔穿刺术后积液重新聚积的患儿(报道中提示的时间1~10 d不等 [ 9 ] ),TAS可缓解胸腔内压力增高,降低出现肺发育不良的风险,同时还可减少静脉和淋巴的梗阻,缓解胎儿水肿,有利于新生儿复苏 [ 10 , 11 ] 。TAS的并发症有早产、流产、胎膜早破、感染、出血、分流管移位、分流管堵塞等。本例患儿首次入院行胸腔穿刺术时,胸水常规检查提示淋巴细胞99%,考虑原发性FHT,穿刺术后动态观察至术后7 d,积液明显增多,重新聚积时间与文献报道相符。第1次TAS后10 d,右侧胸腔积液再次增加,考虑分流管移位至羊膜腔,遂行第2次TAS,带管妊娠22 d,新生儿出生后1分钟、5分钟、10分钟Apgar评分9、10、10分,复苏顺利,TAS效果满意。
先天性尺桡骨融合伴无巨核细胞性血小板减少症是一种伴有骨骼异常的遗传性骨髓衰竭综合征,属常染色体显性遗传模式 [ 12 ] 。该病出生时即有中至重度血小板减少,伴尺桡骨近端融合从而导致前臂旋前和旋后功能受损。其他特征包括先天性指(趾)侧弯、并指(趾)畸形、髋关节发育不良和感音神经性耳聋。初期骨髓检查显示造血细胞增生程度正常伴巨核细胞减少,但可能进展为增生减低和全血细胞减少 [ 13 ] 。本例新生儿出生后因血小板计数低(最低25×10 5/L),尺桡骨融合行家系WES,结果提示3q26.2区域有0.032 Mb的重复变异,母亲及父亲该区域未见拷贝数异常,为新发致病性变异。该区域包含基因MECOM,OMIM数据库关联的疾病为尺桡骨间骨性联接伴无巨核细胞性血小板减少2型,该病在OMIM数据库中的表型包括感音神经性听力损失、前臂内旋受限、前臂外旋受限、双侧近端桡尺关节炎、第五指弯曲、第五指中间指骨骨缺损、第四指指骨缩短、手指交叠无骨异常、先天性全身性瘀点、先天性瘀斑、先天性血小板减少症(可进展为全血细胞减少症)、骨髓中巨核细胞缺乏、重度先天性贫血、严重先天性中性粒细胞减少。本例胎儿表型与该病相符。
在正常的人类细胞中,MECOM基因在造血干细胞中表达,在维持和复制正常造血干细胞中起作用,该基因突变可导致先天性血小板减少症并演变为骨髓衰竭 [ 14 ] 。由MECOM基因种系突变引起的病例中,有家族性和散发性病例,临床范围从没有或轻度血液学受累的孤立近端尺桡骨融合到没有明显骨骼异常的严重骨髓衰竭 [ 15 ] ,临床表现还包括斜指、心脏和肾脏畸形、B淋巴细胞缺乏和早老性听力损失。Wall等 [ 16 ] 报道了1例胎儿水肿、先天性心脏病、双侧尺桡骨融合患儿,后因死胎行家系WES,结果发现新发致病性MECOM基因变异,关联的疾病也是尺桡骨间骨性联接伴无巨核细胞性血小板减少2型,与本例相同。Dash等 [ 17 ] 报道了2例未足月胎儿因胎儿电子胎心监护提示正旋波行急诊剖宫产术,2例早产儿出生时即出现了骨髓衰竭症状,包括严重贫血、水肿、全身瘀斑,2例患儿均未出现尺桡骨融合,但最后均因病情恶化死亡,水肿原因考虑与严重贫血相关。
据文献报道,目前尚未将MECOM基因纳入胎儿水肿的目标基因 [ 17 , 18 ] ,也尚无MECOM基因突变引起FHT并行宫内治疗的报道。本例第2次TAS后出现右侧胸腔囊性分隔,考虑不排除局部感染、出血;患儿出生后血常规检查提示血小板极低,初步考虑与血小板少的胸腔局部出血有关。文献报道的3例胎儿 [ 16 , 17 ] 均出现了水肿,出生后进一步检查提示严重贫血,本例胎儿MCA-PSV检查未见异常,胸腔穿刺液常规检查提示淋巴细胞为99%,与原发性胸腔积液相符,出生后血常规检查未提示贫血,故本例是否为原发性胸腔积液合并MECOM基因突变,期待积累更多的病例进一步研究。
本例的诊治过程中存在的不足表现为,临床医师发现FHT后,应进一步行产前诊断,包括行彩超、MRI检查以排除胎儿其他结构异常,必要时补充羊水遗传学检查,最大程度于产前明确诊断,避免被动。
总之,FHT原因复杂,宫内干预有利于延长孕周、胎肺发育及新生儿复苏,出现胸腔积液等异常后,临床医师应再次行产前诊断,包括超声、MRI检查,羊水遗传学检查等。新生儿出生后如果出现其他表现,如血常规异常、骨骼异常,多学科团队会诊以及及时行家系WES分析有利于明确诊断及进一步的处理。
利益冲突 所有作者声明无利益冲突


